診療時間
10:00~13:30
15:00 - 18:30
15:00 - 17:30

休診日: 木・日・祝

※ 祝日がある週の木曜は半日診療いたします

インプラントのやり直し

implant recovery

SCROLL

インプラントを入れたのに、なぜか納得できないあなたへ

インプラント治療を受けたあと、こんなことを感じていませんか。

  • インプラントの歯だけ、妙に長く見える
  • 歯ぐきが下がり、デコボコした歯列に見える
  • 歯茎から金具が見える
  • 「成功」と言われたが、心の中では納得できていない

「高額な治療だったし、やり直しなんて考えてはいけない」
「自分が気にしすぎなのかもしれない」

そうやって不安を押し殺しながら、このまま使い続けて大丈夫なのか?という疑問を抱えている方は少なくありません。
まずお伝えしたいのは、その違和感に気づいたら一度相談することが重要だということです。

当院ではセカンドオピニオンを受け付けております。不安な気持ちに蓋をせず、お話しください。

やり直しの必要性を感じたらセカンドオピニオンをご活用ください

インプラントのやり直しを検討される方の多くが、「また大きな治療費がかかるから失敗したくない」という不安を抱えています。
当院にセカンドオピニオン希望で来院される方は、

  • どうしてこうなったのか原因を知りたい
  • インプラントのやり直しは可能なのかを知りたい
  • 同じことを繰り返さないための方法を知りたい
  • 失敗しないためにはどうすればよいか知りたい

というご希望が多くあります。
まずは、お話をすることから始めてみましょう。当院では患者様の悩みが払拭されるようにしっかりと向き合います。

インプラントの失敗例をご紹介します

インプラントのトラブルは、「たまたま失敗した」という話ではありません。多くの場合、診断・治療計画・技術力のいずれかに問題があるケースがあります。
それをご理解いただくために、実際に当院へいらっしゃった患者様の症例をご紹介します。

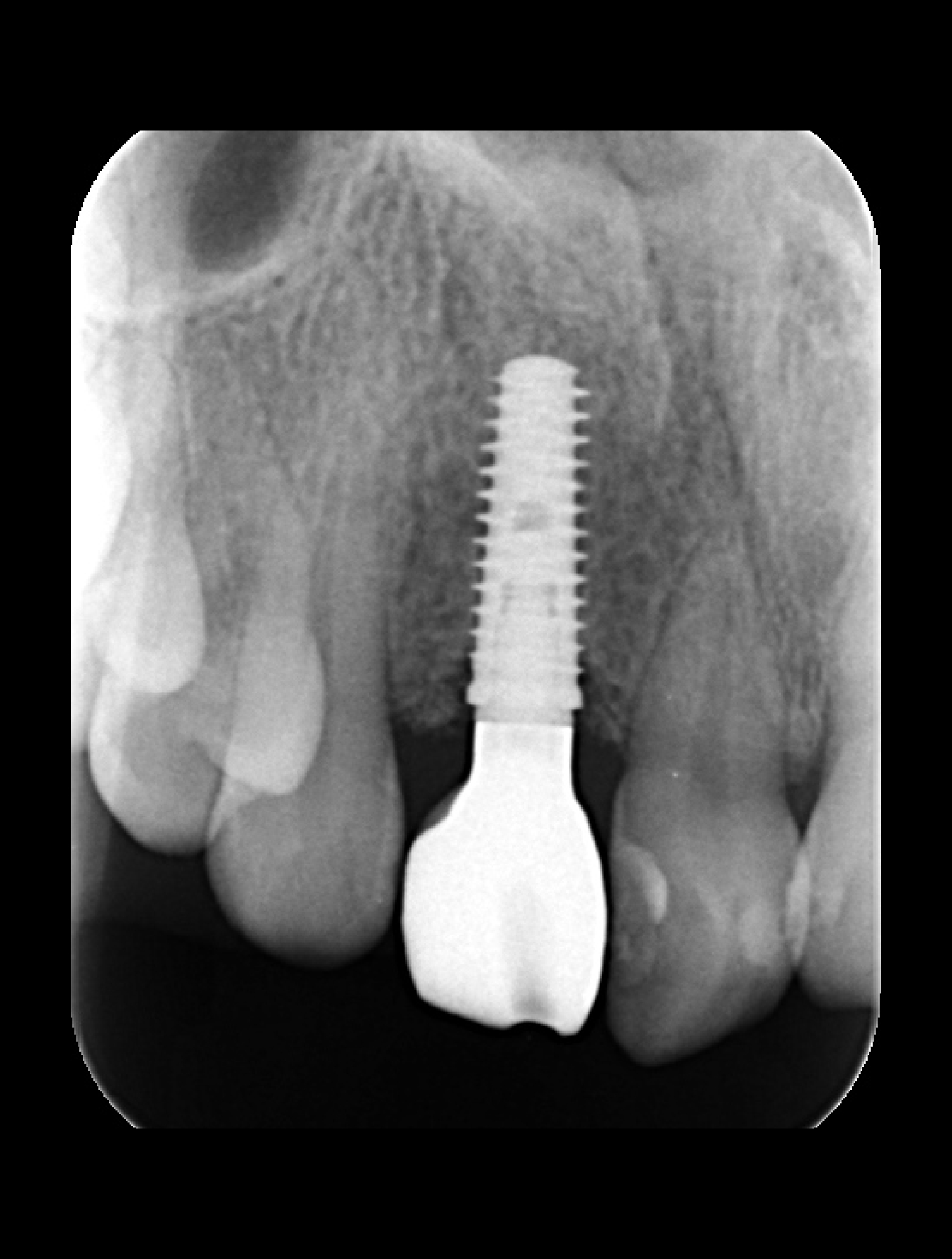
失敗例1 インプラントだけ歯の長さと色が違う

向かって左側の2番目の歯がインプラントを埋入した場所です。

  • 歯茎が下がって歯が長く見える
  • 歯の色が不自然に明るい

これはインプラント埋入したときに骨が足りておらず、1本だけ歯の長さが長くなっています。歯を失うということは、歯を支える骨を失うことでもあるので、インプラントのほとんどのケースでは大なり小なり骨を作る必要があります。しかし、このケースでは骨が作られていなかったため、1本だけ歯が長い状態になってしまいました。
歯の色は周りの色を考えずに作成しているため、1本だけ不自然に白い歯となっています。セラミックで一番難しいのは、天然歯と同じような色を再現することです。実は白い歯を作るのが一番簡単なのです。

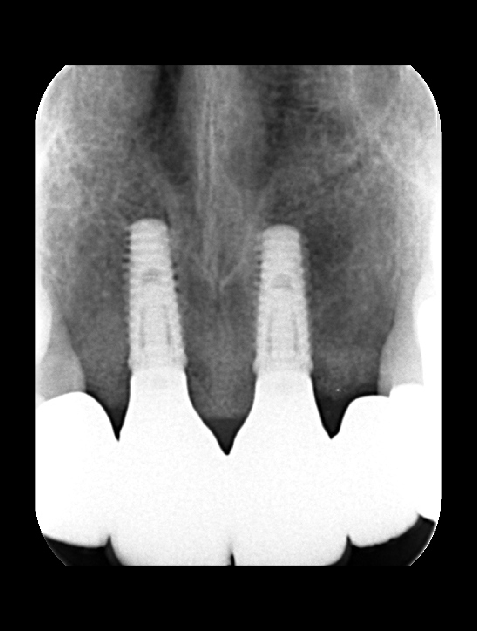
失敗例2 インプラントの部分に金具が見えている

これは骨が足りない上に、歯茎も足りないため金具が露出してしまっている状態です。
「これでは歯を見せて笑えない」と悩んで当院にセカンドオピニオンでいらっしゃいました。インプラントは骨を作るときに、歯茎が足りない場合は歯肉移植も同時に行うことがありますが、今回はそのどちらも行われていなかったため、このような状態になっておりました。

失敗例3 骨が圧倒的に足りていない

これは仮歯を使って、歯の位置をシミュレーションしたときの写真です。圧倒的に骨が足りないことがおわかりいただけると思います。次にもう1枚写真をお見せします。

これが当院に来院した時の状態です。骨が足りないため歯が長くなるだけではなく、高さも不均一です。また、歯茎の形が不自然で審美的に不十分であることがわかります。これらはインプラント・歯周病・審美歯科の技術が高いレベルで揃っていなければ解決できません。

失敗例のほとんどが前歯のインプラントです

ご覧いただいたように、インプラントの失敗例のほとんどが「前歯」です。理由は、前歯は口元の印象を決めてしまうほど目立つからです。奥歯は目立たないため、放置されているケースが多いように感じます。今入れているインプラントに不安がある、納得できていないという場合は当院へご相談ください。当院のインプランについて事前に詳しく知りたい方は、以下のページをご覧ください。

インプラント

インプラントのやり直しは誰でもできる治療ではありません

インプラントのやり直し治療は、初めての治療よりも難易度が高いケースがほとんどです。
当院では、

  • ヨーロッパインプラント学会認定の院長が診断から治療までを対応
  • 歯科医師向けのインプラント専門誌評価される高度な骨造成(GBR)
  • 日本歯周病学会認定医として、歯周組織まで考慮した高度な治療

を組み合わせ、「骨・歯ぐき・噛み合わせ」を総合的に再設計します。
当院ではインプラントのやり直し・リカバリーに力を入れており、一人でも多くの笑顔を取り戻せるような治療を心がけています。

インプラントのやり直し費用が不安な方へ

インプラントのやり直しは、状態によって治療内容も費用も大きく異なります。
当院では、

  • 治療前に詳細な説明を行う
  • 見積りを明確に提示する
  • 内容と保証範囲を明示する

ことを徹底しています。
また、長期的な安心のための10年保証制度を設け、治療後の不安をできる限り減らしています。

インプラントのやり直し症例

インプラントのやり直しで前歯の審美改善を行った症例

Before

After

Before

After

年代
30歳代
主訴
前歯のインプラントをやりかえたい。
背景
他院で治療した直後から見た目の仕上がりが気に入らなかった。できるなら自然な見た目に改善して欲しい。
治療
旧インプラント撤去・骨造成・歯肉移植・インプラント治療
治療期間
1年
治療費用
880,000円(税込)

骨造成・歯肉移植を伴うインプラントのやり直し症例

Before

After

Before

After

年代
40歳代
主訴
前歯5本をやりかえたい。
背景
小学生の頃に転んで前歯を折ってしまってずっと前歯で苦労してきた。
治療
旧インプラント撤去・骨造成・歯肉移植・インプラント治療・セラミック治療
治療期間
1年6ヶ月
治療費用
1,870,000円(税込)

インプラントのやり直しでよくあるご質問

必ずやり直しが必要ですか?

いいえ。状態によっては経過観察やメンテナンスで対応できる場合もあります。

すぐに治療を決めなくてもいいですか?

もちろんです。相談だけでも問題ありません。

他院で入れたインプラントでも診てもらえますか?

はい。多くの方が他院治療後のご相談です。

診療相談・セカンドオピニオンを実施しています

インプラントのやり直しは、「失敗を取り戻す治療」ではなく、これからの人生を安心して過ごすための選択です。

  • 納得できないインプラントに悩んでいる
  • 信頼できる専門家に相談したい
  • 無理に治療を勧められたくない

そう感じている方は、どうぞ一度ご相談やセカンドオピニオンをご活用ください。
あなたがもう一度、安心して笑えるように。私たちは、その一歩に本気で向き合います。

Reservation

診療予約・相談予約

初めての方には、
診療相談および検査を受けていただきます

休診日: 木・日・祝

※ 祝日がある週の木曜は半日診療いたします

住所
〒060-0042 北海道札幌市中央区大通西1-13 ル・トロワ 6F
アクセス
地下鉄南北線・東西線・東豊線「大通駅」地下道直結
パーキング
近隣駐車場提携あり(カモンチケット)